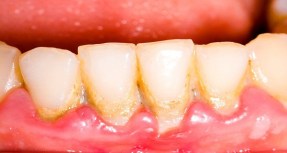
Gingivita este cea mai ușoară formă a paradontozei. Gingivita netratată poate avansa la parodontită, la care există mai multe grade. Parodontita agresivă apare la persoanele care au boli ale gingiilor, dar par a fi sănătoși sau cel puțin nu au nici o altă boală pe care medicina convențională a considerat-o cauza de parodontită. Parodontita cronică include inflamația țesuturilor de susținere a dinților mergând până la pierderea dinților. Necrotizanta bolii parodontale este o infecție gravă în țesuturile gingivale, în ligamentele parodontale și în oase.
In toate celelalte cazuri de boli ale gingiilor, gingiile pot fi vindecate intr-o saptamana chiar in cateva zile. Fiind o boala care cauzeaza parodontoza, boala in sine trebuie sa fie remediata pentru a repara gingiile, iar gura trebuie sa fie adusa la un nivel mult mai ridicat de sanatate utilizand urmatoarele practici, indiferent de celelelate afectiuni cronice de sanatate. Pentru orice persoana care a suferit o obturare a canalelor radiculare sau care are plombe de metal, urmatoarele proceduri trebuie urmate pe termen nelimitat.
Dintii pot fi mai sanatosi, daca se aplica aceleasi reguli. Atata timp cat ei sunt acolo si nu sunt complet plini de material de umplutura, exista speranta pentru ei, chiar si pentru cei cu smaltul epuizat.Pierderea smaltului dintilor incepe cu dieta. Mancarurile acide conduc la deteriorarea dintilor inclusiv pierderea smaltului, practic a elementului de aparare a dintilor. O nutritie corecta iti poate repara gingiile , restul corpului ramanand sanatos.
Legumele organice, proaspete sunt cea mai importanta parte a dietei noastre. Fructele sunt un al doilea factor la fel de important. Orice alt tip de alimente vin in completare pe locul trei. Elimina alimentele rafinate, prelucrate. Zaharul rafinat, lichidele acidulate, sunt atat de acide incat extrag literalmente mineralele si vitaminele din dinti si gingii.
Nu fumați. Fumatul introduce o concentratie foarte mare de radicali liberi si carbon in gura provocand reactii chimice, ce vor avea ca efect deteriorarea celulelor si epuizarea stratului de vitamine si minerale din gura.
Mesteca usturoi. E neplacut insa merita pentru o sanatate a gurii de invidiat. Consuma usturoi regulat, fie simplu, fie in salate , secretul consta in mestecarea lui cu gura deschisa iar respiratia sa se faca tot pe gura.
Bolile interne. Orice infectie este in gura ta, este si in intestine, si de asemenea se prelinge in fluxul sanguin. Asa ca vindeca-ti bolile interne ca sa ai o sanatate buna a cavitatii bucale.
Incearca ulei de nuca de cocos. Acesta te va ajuta sa elimini microbii care se acumuleaza in cavitatea bucala, si totodata a intregului organism. Clateste gura dimineata cu acest ulei si rezultatele nu vor intarzia sa apara.
Foloseste ața dentară. Chiar si atunci cand ai gingiile inflamate, chiar daca sangereaza, folosirea atei dentare nu face altceva decat sa grabeasca vindecarea.Ori de cate ori exista infectie, exista aproape intotdeauna candida si bacterii rele (ceea ce inseamna ca ne fac rau ). De aceea trebuie utilizat acest ulei, tocmai pentru a scapa de ele.
Fa-ti propria pasta de dinti!
Apa de gura si pasta de dinti pe care cei mai multi dintre noi o folosim este sub orice critica. Pe langa fluorul care-l contine, si multe alte chimicale complet nefolositoare, costa si destul de mult si in plus…nu te ajuta cu nimic. Asa că, mestecă usturoi (asa cum am mentionat mai sus) si executa un periaj cu sare de mare. Vei vedea ca aceasta procedura va face de 100 de ori mai bine decât orice pastă de dinti cumpărată din magazine, fie si cea din magazinele naturiste.
Pentru parodontită cronica foarte grava, sau doar pentru a avea o sanatate a cavitatii bucale de invidiat, incearca cele relatate mai sus si vei observa cum in numai cateva zile, ameliorarile nu vor intarzia sa apara.
Acest articol este oferit sub licenta Creative Commons. Il puteti republica oriunde incluzand autorul, sursa si sa lasati toate link-urile intacte.
Despre Autor:
Cristian Iacov este autor pentru Secretele.com . „Îmi doresc să vă dezvălui secretul sănătății naturale pentru cunoasterea beneficiilor asupra organismului uman. Trebuie să lăsăm o mostenire fără secrete generațiilor viitoare!”
Pe Cristian Iacov il puteti gasi si pe Facebook
Un articol de Cristian Iacov
___________________________________
